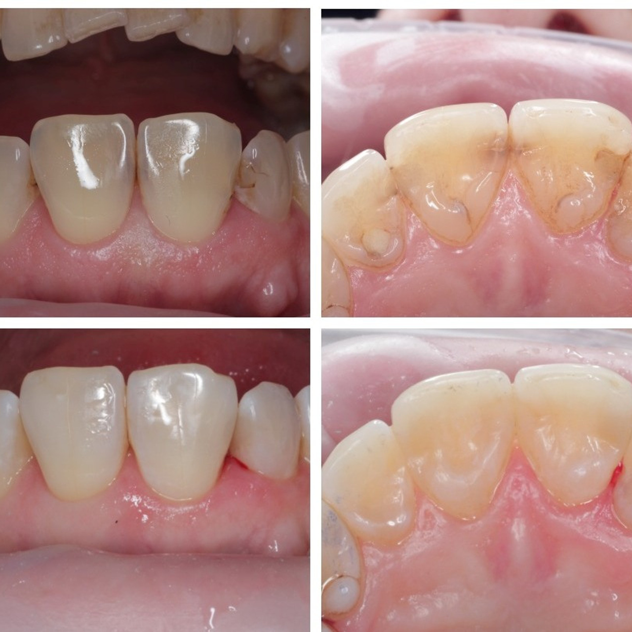
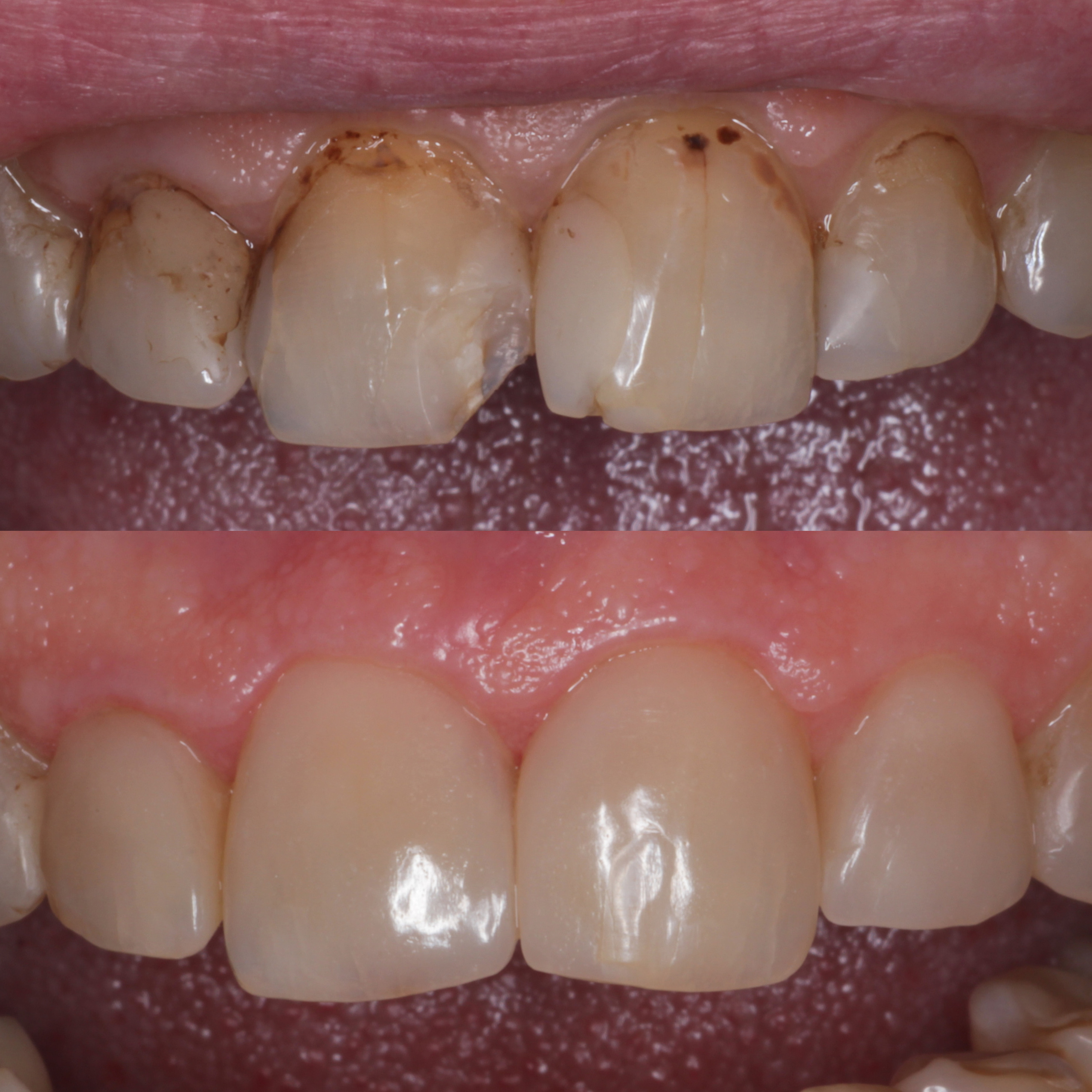
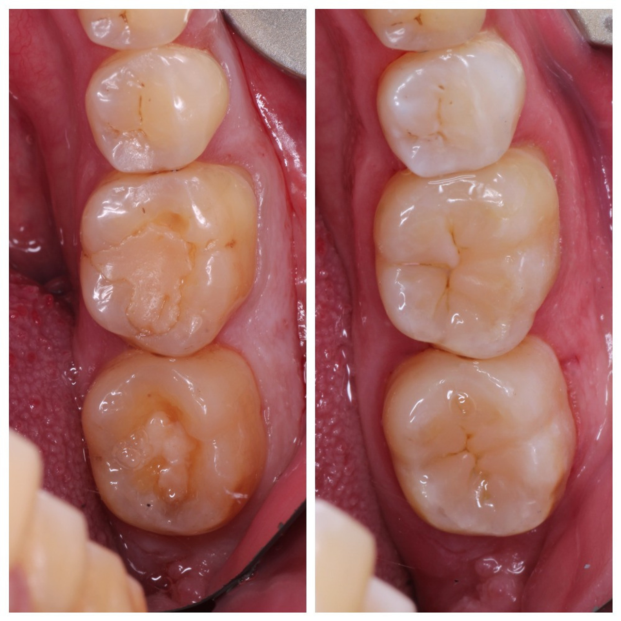
Кариес — самое распространенное заболевание зуба. В этом альбоме мы покажем его лечение. Все работы выполнены и сфотографированы нашими докторами.
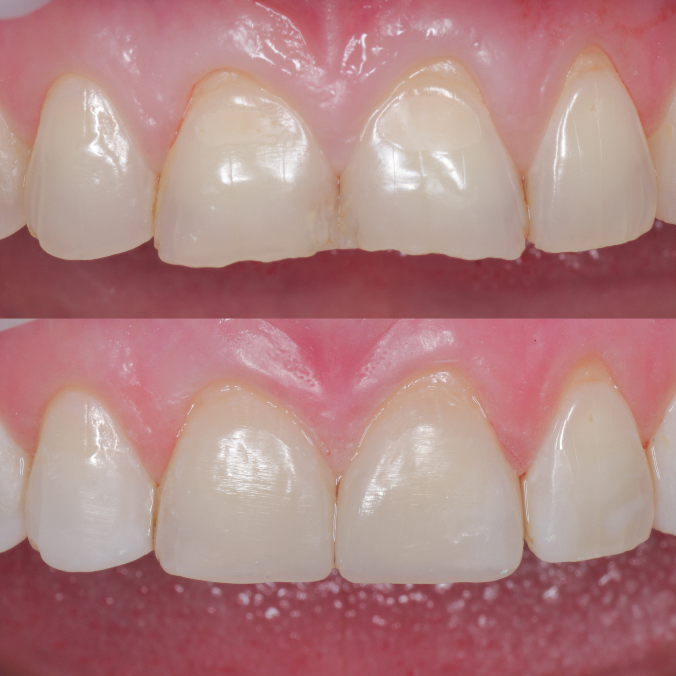
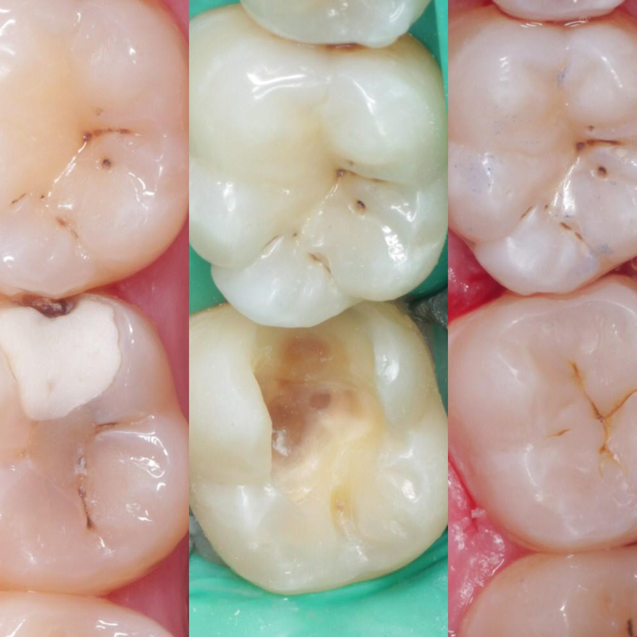
Кариес — самое распространенное заболевание зуба. В этом альбоме мы покажем его лечение. Все работы выполнены и сфотографированы нашими докторами.